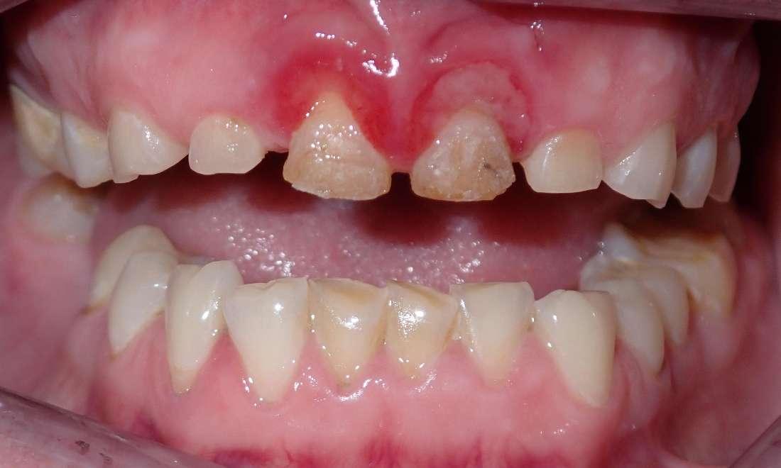
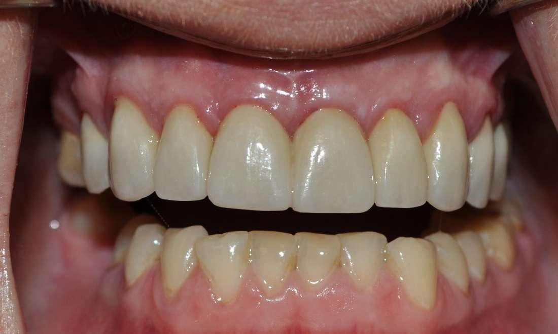
Ceramic Crowns

This patient came to Anderson Dental in Champaign, IL, seeking to improve the appearance of worn-out, uneven teeth. Their smile was affecting their confidence and they desired a more uniform, brighter look.

After a detailed consultation, we created a personalized treatment plan focused on enhancing their smile's aesthetics and strength using custom-crafted ceramic crowns. The results speak for themselves. As you can see in these before and after photos, the patient now enjoys a smile that is not only stunningly radiant and natural-looking but also strong and durable. 

Kristin's Smile Makeover with Ceramic Crowns
Are You Ready for Your Smile Transformation?