Anderson Dental

Smile Gallery

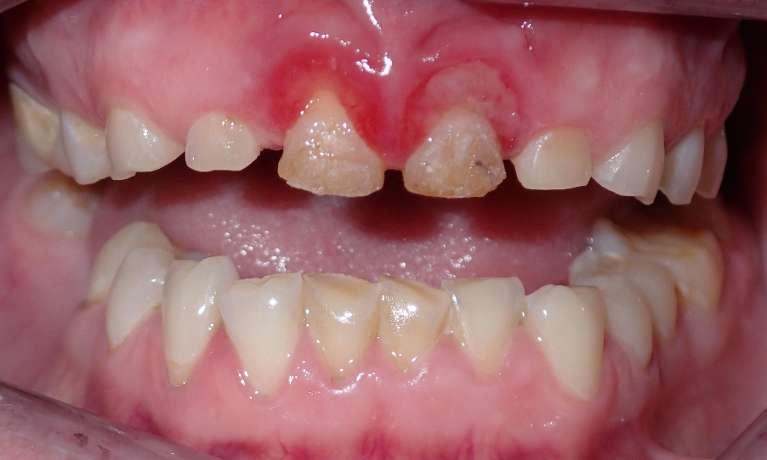
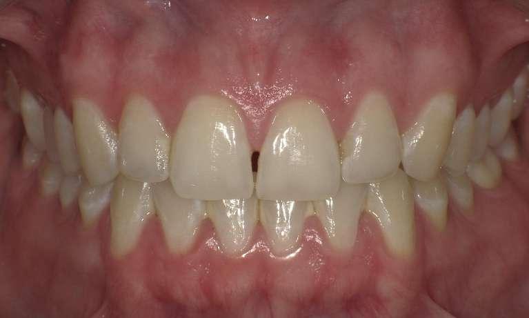
We love to see our patients smile and help improve their confidence. Through a variety of cosmetic dental services, we are proud to restore smiles at our dentist office in Champaign, IL, and we welcome the opportunity to guide you through your smile journey, too. 

Check out some of the before and after pictures below to learn more about dental procedures and services offered at Anderson Dental. 

We Are Accepting New Patients
Linda S.

I have seen Dr. Anderson for over 30 years and couldn't be happier. The entire staff is friendly, knowledgeable and accommodating. I've recommended him to many of my family and friends over the years and know how he is patient and understanding with those who have a real fear of the dental experience. I have personally had a quite comfortable root canal! His office is ever changing with advancing technology and my appointments are faster and more comfortable than ever. As a young senior, my mouth is healthy and attractive and I REALLY don't have a negative thing to say!

 

If you have difficulty using our website, please email us or call us at (217) 356-7334
View the ADA Accessibility Statement
Fax (217) 954-0050