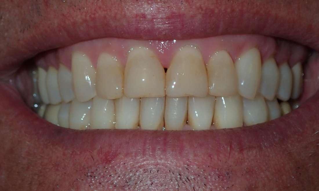
Check out this patient's smile transformation with custom-designed ceramic veneers at Anderson Dental in Champaign! These veneers helped them achieve their dream smile.
If you have difficulty using our website, please email us
or call us at (217) 356-7334
View the ADA Accessibility Statement
Fax (217) 954-0050
 
